fibroepithelial polyp
Giant
fibroepithelial polyp of the uterine cervix. Sagittal (i) and fat-suppressed coronal (j) T1-weighted images after intravenous gadolinium showed heterogeneously enhancing cervical mass (arrowheads), normal mucosal enhancement at the vagina (thin arrows).
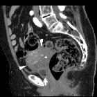
Giant
fibroepithelial polyp of the uterine cervix. After intravenous contrast the dorsal hyperattenuating portion (*) did not enhance. Arterial-phase early enhancement was noted in the anterior solid portion of the enlarged cervix (arrowheads), without contrast extravasation suggesting active bleeding.
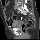
Giant
fibroepithelial polyp of the uterine cervix. Portal venous (f,g) and excretory (h,i) phase acquisitions showed persistent progressive enhancement in the anterior solid portion of the enlarged cervix (arrowheads), absent enhancement in the dorsal hyperattenuating portion (*).
fibroepithelial polyp

