abscess around the VP shunt reservoir
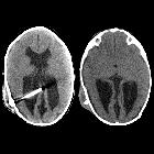
Infant with a
low grade fever and redness and swelling around the VP shunt reservoirAxial CT without contrast of the brain shows a low density fluid collection around the VP shunt reservoir between the skull and the scalp. In the operating room this fluid was found to be pus.The diagnosis was an abscess around the VP shunt reservoir.
abscess around the VP shunt reservoir

