Aneurysma der Arteria carotis interna
Hybrid
procedure to treat aortic arch aneurysm combined with aortic arch coarctation and left internal carotid artery aneurysm (Case Report). CTA demonstrated an aortic arch with 50 mm sized saccular aneurysm at 3 mm distal to the LCCA, aortic arch coarctation in the size of 12 mm (A, B), and a LICA aneurysm (C). DSA was in agreement with the CTA images (D) and showed patency of the carotid to carotid bypass (E); Brachial-femoral stretch guidewire technique was performed (F); The completion aortogram revealed no evidence of endoleak; disappearance of the aortic arch aneurysm lumen (G).
Pituitary
macroadenoma co-existent with supraclinoid internal carotid artery cerebral aneurysm: a case report and review of the literature. Axial (A) and Coronal (B) view of T2-weighted MRI showing a round flow-void mass in the right supraclinoid ICA associated with a pituitary macroadenoma.
Pituitary
macroadenoma co-existent with supraclinoid internal carotid artery cerebral aneurysm: a case report and review of the literature. (A) Right internal carotid angiogram showing a wide-neck saccular-type aneurysm (measuring approximately 8 × 7.5 mm; neck, 4.8 mm) in the right supraclinoid ICA, pointing superiorly and with a small side lobe near its neck, pointing laterally. (B) Right internal carotid angiogram obtained after endovascular coil placement. The aneurysm has been completely obliterated.
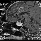
Intra
cavernous aneurysm of internal carotid artery masquerading as a pituitary adenoma: a case report. Suprasellar region mass seen in magnetic resonance imaging
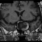
Intra
cavernous aneurysm of internal carotid artery masquerading as a pituitary adenoma: a case report. Multi-layered halo like appearance on a coronal section of magnetic resonance imaging
Intra
cavernous aneurysm of internal carotid artery masquerading as a pituitary adenoma: a case report. Saccular aneurysm arising from intra-cavernous segment of left internal carotid artery seen in CT angiogram
Intra
cavernous aneurysm of internal carotid artery masquerading as a pituitary adenoma: a case report. Angiographic appearance after endovascular coiling of the carotid aneurysm
Aneurysma der Arteria carotis interna
Siehe auch:
- Aneurysma Arteria carotis
- Aneurysma der Arteria carotis interna im kavernösen Verlauf
- extracranial carotid artery aneurysm
- Pseudoaneurysma der Arteria carotis
- Fibromuskuläre Dysplasie der Arteria carotis interna
und weiter:

Assoziationen und Differentialdiagnosen zu Aneurysma der Arteria carotis interna:Aneurysma der
Arteria carotis interna im kavernösen Verlauf
