Aneurysma der Vena renalis
Asymptomatic
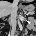
left renal vein aneurysm with thrombosis. CT performed for unrelated reasons detected a well-demarcated roundish lesion (arrowheads) abutting the left renal vein (*), measuring approximately 15 Hounsfield Units (HU) attenuation on unenhanced images.
Asymptomatic
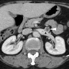
left renal vein aneurysm with thrombosis. Multiplanar reformatted images (b..d) from portal venous phase acquisition depicted the lesion (arrowheads) as a saccular outpouching of the left renal vein (*), with internal nonenhancing tissue (thin arrows) representing intraluminal thrombus.
Asymptomatic
left renal vein aneurysm with thrombosis. Multiplanar reformatted images (b..d) from portal venous phase acquisition depicted the lesion (arrowheads) as a saccular outpouching of the left renal vein (*), with internal nonenhancing tissue representing intraluminal thrombus.
Asymptomatic
left renal vein aneurysm with thrombosis. Multiplanar reformatted images (b..d) from portal venous phase acquisition depicted the lesion (arrowheads) as a saccular outpouching of the left renal vein (*), with internal nonenhancing tissue (thin arrows) representing intraluminal thrombus.
Asymptomatic
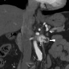
left renal vein aneurysm with thrombosis. The saccular aneurysm (arrowheads) showed unchanged size and morphology, persistent internal thrombosis; arterial-phase hyperenhancement surrounding the thrombus partially extending (thin arrows) in the left renal vein.
Asymptomatic
left renal vein aneurysm with thrombosis. The saccular aneurysm (arrowheads) showed unchanged size and morphology, persistent internal thrombosis; arterial-phase hyperenhancement surrounding the thrombus partially extending (thin arrows) in the left renal vein.
Asymptomatic
left renal vein aneurysm with thrombosis. Venous phase images (c..e) confirmed saccular aneurysm (arrowheads) with unchanged size and morphology or the left renal vein (*), and persistent internal thrombosis.
Asymptomatic
left renal vein aneurysm with thrombosis. Venous phase images (c..e) confirmed saccular aneurysm (arrowheads) with unchanged size and morphology or the left renal vein (*), and persistent internal thrombosis.
Asymptomatic
left renal vein aneurysm with thrombosis. The saccular aneurysm (arrowheads) of the left renal vein (*) showed unchanged size and morphology on post-contrast (b, c) acquisitions, persistent internal thrombosis (thin arrows).
Asymptomatic
left renal vein aneurysm with thrombosis. The saccular aneurysm (arrowheads) of the left renal vein (*) showed unchanged size and morphology on post-contrast (b, c) acquisitions, persistent internal thrombosis (thin arrows).
Aneurysma der Vena renalis
Siehe auch:

Assoziationen und Differentialdiagnosen zu Aneurysma der Vena renalis: