Direkt zum Inhalt
pacs
Toggle navigation
Merkliste
Stöbern
Hilfe
Impressum / Nutzungsbedingungen
Datenschutzerklärung
Appendektomie
Suche
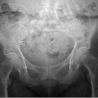
Clips im
rechten Unterbauch bei Zustand nach Appendektomie. Röntgenbild.
Wikipedia
•
CC BY-SA 3.0
Kleine
Trokarhernie im linken Unterbauch nach minimal-invasiver Appendektomie. Aktuell nur lipomatöser Inhalt.
Wikipedia
•
CC BY-SA 3.0
Hallo!
Lizenz: CC BY-SA 4.0
Appendektomie
Siehe auch:
Appendizitis
Abszess nach Appendektomie
und weiter:
intra-abdominal abscess after appendicectomy
Assoziationen und Differentialdiagnosen zu
Appendektomie
:
Appendizitis
Wikipedia
•
CC BY-SA 4.0