Direkt zum Inhalt
pacs
Toggle navigation
Merkliste
Stöbern
Hilfe
Impressum / Nutzungsbedingungen
Datenschutzerklärung
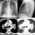
aspergillosis in a patient with chronic granulomatous disease
Suche
Lizenz: CC BY-SA 4.0
aspergillosis in a patient with chronic granulomatous disease
Siehe auch:
aspergillosis
chronic granulomatous disease
Assoziationen und Differentialdiagnosen zu
aspergillosis in a patient with chronic granulomatous disease
:
chronic
granulomatous disease
pediatricimaging.org
•
CC-by-nc-sa 4.0