Bird fancier lung
Pigeon
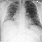
fanciers lung: a case report. Chest radiograph showing bilateral interstitial reticular shadowing with loss of lung volume.
Pigeon
fanciers lung: a case report. Computed tomography scan of the thorax showing extensive honeycombing in both lungs with widespread ground glass opacification and patchy asymmetrical areas of normal lung tissue.
Bird fancier
lung • Pigeon fanciers lung - Ganzer Fall bei Radiopaedia
Bird fancier
lung • Chronic hypersensitivity pneumonitis - Ganzer Fall bei Radiopaedia
Bird fancier lung refers to a type of hypersensitivity pneumonitis occurring as a response to avian antigens (usually inhaled proteins in the dust of bird feathers and droppings).
For a broad discussion on this entity, please refer to the main article on hypersensitivity pneumonitis.
Radiographic features
CT
HRCT chest features can differ depending on whether it is acute, subacute or chronic presentation, but, in general, can be similar to other forms of hypersensitivity pneumonitis.
Described CT features include :
- diffuse centrilobular nodules
- ground glass: diffuse or patchy predominant in upper lobes
- fibrosis with or without traction bronchiectasis
- honeycombing
- mediastinal lymphadenopathy
Treatment and prognosis
Cessation of avian exposure is a key part of management. Most cases have a good prognosis following cessation.

