Direkt zum Inhalt
pacs
Toggle navigation
Merkliste
Stöbern
Hilfe
Impressum / Nutzungsbedingungen
Datenschutzerklärung
Endopthalmitis
Suche
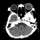
Endopthalmitis,
brain abscesses probably seconday to metastatic renal abscess secondary to virulent Klebsiella species. CT head shows enhanced thickened sclera on the left eye with possible adjacent abscess or inflammation.
www.eurorad.org
•
CC by-nc-sa-4.0
Hallo!
Lizenz: CC BY-SA 4.0
Endopthalmitis