Enterovirus 71 brainstem encephalitis
Enterovirus rhombencephalitis is the most common neurological complication of enterovirus infection .
Clinical presentation
Enterovirus rhombencephalitis causes acute and severe neurologic disorders such as ataxia, nystagmus, oculomotor palsies, or bulbar palsy. In some cases, neurologic affection can extend to the spinal cord .
EV71 brainstem encephalitis occasionally induces autonomic dysfunction, such as fluctuating blood pressure and pulmonary hemorrhage/edema leading to death.
Diagnosis usually made by neuroimaging findings in conjunction with virus isolation from at least one site (e.g. throat swab, stool, CSF).
Radiographic features
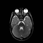
MRI
Brainstem is the most common site of involvement. High signal intensities may be seen on T2-weighted and fluid-attenuated inversion recovery images in the dorsal aspect of the pons, medulla, midbrain, and dentate nuclei . The dorsal aspect of the pons (pontine tegmentum) is the most common site of brainstem involvement . Ventral pontine lesions, substantia nigra and dentate nuclei affection can also be found, but there is usually no supratentorial involvement.
Spinal cord signal anomalies can also be identified, with the cervical cord being the most commonly involved. In these cases, there is increased T2 signal throughout the entire spinal cord grey matter.
Differential diagnosis
Possible differential considerations include
Siehe auch:

Assoziationen und Differentialdiagnosen zu Enterovirusenzephalitis: