fehlende Schilddrüse in orthotoper Lage
Ectopic
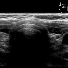
thyroid tissue presenting as a midline neck mass with absent orthotopic thyroid gland. Axial ultrasound section at level just below cricoid cartilage does not show evidence of any normal thyroid tissue at an orthotopic location.

Assoziationen und Differentialdiagnosen zu fehlende Schilddrüse in orthotoper Lage: