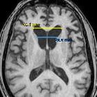
Frontal horn width to intercaudate distance ratio
Huntington
disease • Frontal horn, intercaudate and inner table ratios (diagram) - Ganzer Fall bei Radiopaedia
Huntington
disease • Huntington disease - Ganzer Fall bei Radiopaedia
Frontal horn
width to intercaudate distance ratio • Huntington disease - Ganzer Fall bei Radiopaedia
Huntington
disease • Huntington disease - Ganzer Fall bei Radiopaedia
Huntington
disease • Huntington disease - Ganzer Fall bei Radiopaedia
Frontal horn
width to intercaudate distance ratio • Huntington disease - Ganzer Fall bei Radiopaedia
Frontal horn width to intercaudate distance ratio (FH/CC) is used in assessing patients with suspected Huntington disease. An alternative measurement is intercaudate distance to inner table width ratio (CC/IT).
Measurement
On the same axial plane obtained on the ACPC (anterior commissure and posterior commissure) line, the ratio between the lateral margins of the frontal horns and the distance between the caudate heads (where they are closest).
Interpretation
The normal mean FH/CC ratio range is 2.2 to 2.6. As the caudate heads reduce in volume the CC distance will approach the FH distance, and the ratio will approach 1.

