Herbert-Schraube
Röntgenbild
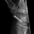
einer Kahnbeinfraktur eines 20jährigen Patienten. Operative Versorgung mit einer Boldschraube.
Röntgenbild
einer Kahnbeinfraktur eines 20jährigen Patienten. Operative versorgung mit einer Boldschraube.
Biodegradable
magnesium Herbert screw – image quality and artifacts with radiography, CT and MRI. Mg-screw (top) and Ti-screw (bottom) in FPCT. The screw axis aligns to the z-axis of the scanner (0° position)
Biodegradable
magnesium Herbert screw – image quality and artifacts with radiography, CT and MRI. Mg-screw (top) and Ti-screw (bottom) in MDCT in the 0° and 90° degree positions
Biodegradable
magnesium Herbert screw – image quality and artifacts with radiography, CT and MRI. Mg-screw (top) and Ti-screw (bottom) in FPCT in the 0° and 90° degree positions
Fraktur mit
schematisierter Herbert- Schraube - aus Bild:Scaphoidfraktur 1 pfeil.jpg auf commons erstellt
A Herbert screw is an instrument used in the internal fixation of an unstable scaphoid fracture. It is a headless screw with the thread along its entire length. The two halves of the screw have a different pitch though, which causes compression of the fracture.
Indications
Unstable scaphoid fractures which include:
- displacement >1 mm
- scapholunate angle >60
- radiolunate angle >15
- delayed/non-union
Disadvantages
- ineffective in long standing non-united scaphoid fractures
Siehe auch:

Assoziationen und Differentialdiagnosen zu Herbert-Schraube: