Komplikationen nach Fundoplikatio
Toddler who
had a Nissen fundoplication for gastroesophageal reflux a year ago who is now retching with feeding. AP (left) and lateral (right) images from an upper GI exam show the Nissen fundoplication wrap to be intact around the fundus of the stomach. However, part of the stomach has herniated above the level of the wrap.The diagnosis was Nissen fundoplication malfunction in the form of a para-Nissen herniation.
Postoperative
herniation of Nissen fundoplication. Retrocardiac gas-filled structure with defined edges.
Postoperative
herniation of Nissen fundoplication. Retrocardiac air-filled structure completely surrounding the distal oesophagus.
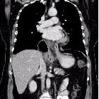
Postoperative
herniation of Nissen fundoplication. Retrocardiac structure completely surrounding the distal oesophagus, aparently in continuity with the gastric fundus. The rest of the gastric chamber was located infradiaphragmatic.
Postoperative
herniation of Nissen fundoplication. Upper gastrointestinal series demonstrated a filiform pass of barium along the distal oesophagus at the level of the structure, with slight dilatation of the proximal portion.
Komplikationen nach Fundoplikatio
Siehe auch:

Assoziationen und Differentialdiagnosen zu Komplikationen nach Fundoplikatio: