Kuzniecky syndrome
MRI showing
the abnormal infolding of the perisylvian region typical of this syndrome. The abnormality is due to polymicrogyria.
Bilateral
symmetrical perisylvian polymicrogyria.. Axial T2-weighted (a,b) and T1-weighted (c,d) images show thick and irregular cortex surrounding the Sylvian fissures (arrows).
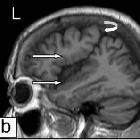
Bilateral
symmetrical perisylvian polymicrogyria.. Sagittal (a,b) and coronal (c) T1-weighted images show that polymicrogyria involves the entire perisylvian cortex (arrows) and extents posteriorly to the central sulcus (curved arrows).
Newborn with
macrocephaly. Axial T2 (above) and coronal T1 (below) MRI without contrast of the brain shows small haphazard appearing gyri and too few sulci present bilaterally, primarily in the sylvian fissures.The diagnosis was bilateral perisylvian polymicrogyria.
School ager
with seizures. Coronal and axial T1 (above) and axial T2 (below) MRI without contrast of the brain shows small haphazard appearing gyri and too few sulci present bilaterally, left greater than right, primarily in the sylvian fissures. There is also a cleft of gray matter with cerebrospinal fluid within extending from the cortex to the posterior aspect of the left lateral ventricle.The diagnosis was bilateral perisylvian polymicrogyria in a patient with left open lip schizencephaly.


Assoziationen und Differentialdiagnosen zu