Luftembolie
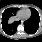
Systemic air
embolism and decompression illnes in a scuba diver.. Arrow shows gas in left innominate vein.
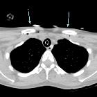
Systemic air
embolism and decompression illnes in a scuba diver.. Gas in retroclavear vessels.
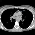
Systemic air
embolism and decompression illnes in a scuba diver.. Gas in pulmonary trunk.
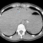
Systemic air
embolism and decompression illnes in a scuba diver.. Arrow shows gas in the inferior vena cava at the confluence of the renal veins.
Systemic air
embolism and decompression illnes in a scuba diver.. Gas in the inferior vena cava in a upper level, shortly before the outlet in the right atrium.
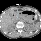
Systemic air
embolism and decompression illnes in a scuba diver.. Arrow shows gas bubbles in some portal branches for the left hepatic lobe.
Systemic air
embolism and decompression illnes in a scuba diver.. MR imaging on sagittal view in T2WI with fat signal saturation. Arrow shows a linear area of hyperintensity involving the spinal cord at T8-T9 level, indicative of hypoxic suffering.
Systemic air
embolism and decompression illnes in a scuba diver.. The previous MR imaging finding (T2WI), on axial view.

