maple syrup urine disease
Maple syrup urine disease (MSUD) is a very rare metabolic disorder. It is an inborn error of amino acid metabolism, which classically affects the brain tissue resulting in impairment or death if untreated.
Epidemiology
MSUD occurs in 1 in 185,000 births .
Clinical presentation
It usually manifests itself within the first week of life with :
- poor feeding
- vomiting
- ketoacidosis
- hypoglycemia
- lethargy
- seizures
- characteristic odor of maple syrup in the urine or cerumen
Intermittent forms of the disease may present later (5 months to 2 years of age) and can be precipitated by concomitant infection or a high protein intake .
Pathology
Maple syrup urine disease is due to mutations in any aspect of the mitochondrial branched-chain alpha-keto acid dehydrogenase complex .
Genetics
It is inherited in an autosomal recessive pattern and various different genes have been implicated .
Serology
There is elevated plasma concentrations of branched-chain amino acids (leucine, isoleucine, and valine), allo-isoleucine, and alpha-ketoacids.
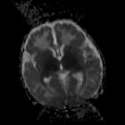
Radiographic features
MRI
MRI brain may show the characteristic pattern of edema present in MSUD. Two forms of edema may be seen in MSUD:
- intramyelinic edema: believed to be from myelin splitting due to accumulation of branched-chain key acids and water molecules between layers of myelin
- vasogenic edema: usually due to disruption of the blood-brain barrier during an acute metabolic crisis or decompensation
Signal characteristics include:
- T1: low signal intensity
- predominantly in the cerebellar white matter, cerebral peduncles, posterior limb of the internal capsule, thalami, globe pallidi, perirolandic cerebral white matter and dorsal brainstem
- T2: high signal intensity
- in the locations described above
- DWI: the posterior limbs of the internal capsules and optic radiations and the central corticospinal tracts within the cerebral hemispheres exhibit high diffusion signal
- MR spectroscopy: single-voxel proton MR spectroscopy may show the presence of branched-chain amino acids and branched-chain alpha-keto acids resonating at 0.9-1.0 ppm, especially during a metabolic crisis
Treatment and prognosis
Management involves dietary changes, such as life-long dietary intake restriction of foods with branched-chain amino acids (especially leucine), and early treatment of metabolic decompensation, with agents such as intravenous glucose .

