Metastasen eines Nierenzellkazinoms in der Schilddrüse
Renal
carcinoma metastasis in thyroid gland mimicking a benign goitre. Transverse sonogram of right lobe thyroid mass.
Renal
carcinoma metastasis in thyroid gland mimicking a benign goitre. Longitudinal sonogram of right lobe thyroid mass.
Renal
carcinoma metastasis in thyroid gland mimicking a benign goitre. Axial contrast CT scan image of right thyroid mass.
Renal
carcinoma metastasis in thyroid gland mimicking a benign goitre. Coronal reformatted CT image of right thyroid mass.
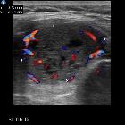
Renal
carcinoma metastasis in thyroid gland mimicking a benign goitre. Transverse sonogram with colour flow showing mainly peripheral vascularity and only minimal internal vascularity of the thyroid lesion.
Metastasen eines Nierenzellkazinoms in der Schilddrüse
Siehe auch:

Assoziationen und Differentialdiagnosen zu Metastasen eines Nierenzellkazinoms in der Schilddrüse: