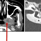
middle ear atelectasis
Verlegung der Paukenhöhle
middle ear atelectasis
Otitis media Radiopaedia • CC-by-nc-sa 3.0 • de
Otitis media refers to inflammation or infection of the middle ear cavity.
Terminology
The specific type of otitis media depends on various clinical findings and setting:
- acute otitis media: acute infection of the middle ear
- otitis media with effusion: middle ear fluid without signs or symptoms of acute infection
- adhesive otitis media: retracted tympanic membrane with adhesions to medial wall of tympanic cavity, with or without perforation
- chronic otitis media: tympanic membrane perforation in the setting of recurrent infections of the middle ear
- benign/inactive chronic otitis media: dry tympanic membrane perforation
- chronic suppurative otitis media (CSOM): purulent drainage through perforated tympanic membrane
- chronic otitis media with effusion (formerly chronic serous otitis media): serous drainage through the perforated tympanic membrane
- otomastoiditis: inflammation or infection from acute or chronic otitis media has spread to involve the mastoid
Epidemiology
It is most commonly seen in children.
Clinical presentation
In acute otitis media, otalgia is the most common complaint. Other common signs and symptoms include otorrhea, hearing loss, headache, fever, and irritability. The otoscopic signs with the highest positive predictive value for acute otitis media are a bulging tympanic membrane followed by impaired mobility on pneumatic otoscopy . The redness of the tympanic membrane is less reliable but may be used to make the diagnosis in combination with other signs such as the presence of middle ear effusion.
In otitis media with effusion, most cases are asymptomatic. When patients are symptomatic, the most common finding is mild conductive hearing loss.
In chronic otitis media, the most common complaints are persistent otorrhea and hearing loss. Otoscopic examination demonstrates a perforated tympanic membrane.
Pathology
A mixture of factors predispose to otitis media, but Eustachian tube dysfunction or obstruction is thought to be one of the most important factors. Congenital palate defects, host immunity, and viral or bacterial infection may all be contributing factors.
Radiographic features
Imaging is not usually required in cases of acute otitis media as the diagnosis is clinical. However, patients with chronic otitis media that present with hearing loss in whom the tympanic membrane cannot be visualized may require imaging. Exact imaging features vary depending on the form but in general includes
CT
High-resolution temporal bone CT is routinely performed and may show:
- soft tissue density in the middle ear cavity
- thickened tympanic membrane
- bulging tympanic membrane
- tympanic perforation
Features seen in chronic rather than acute otitis media include:
- air-fluid level in the middle ear (effusion)
- bony erosion (less than 10%)
- adjacent sclerosis and hypopneumatisation of the mastoid
MRI
- fluid signal in the middle ear cavity and mastoid antrum.
Differential diagnosis
- cholesteatoma
- causes disruption and erosion of the auditory ossicles
- mass-like appearance rather than dependent fluid
- can be difficult to exclude if the middle ear cavity is diffusely opacified
- hemotympanum
- following trauma
- associated with skull base fracture
Siehe auch:

Assoziationen und Differentialdiagnosen zu Verlegung der Paukenhöhle: