Morbus Baastrup
Baastrup syndrome (also referred to as kissing spines) results from adjacent spinous processes in the lumbar spine rubbing against each other. This causes hypertrophy and sclerosis. Patients typically report focal midline pain and tenderness relieved by flexion and aggravated by extension.
Epidemiology
It tends to be more common in the elderly.
Clinical presentation
Focal midline pain and tenderness relieved by flexion and aggravated by extension.
Pathology
This process can result in degenerative hypertrophy, inflammatory change (as seen in case 1) and even a pseudoarthrosis with bursa formation. This interspinous bursa may extend between the ligamenta flava in the midline forming an epidural cyst and further contributing to the already existing canal stenosis .
This condition is usually seen in patients with excessive lordosis of the lumbar spine.
Associations
- older age
- anterolisthesis
- central canal stenosis
Radiographic features
Plain radiograph and CT
- often shows close approximation and contact of adjacent spinous processes (kissing spines)
- resultant enlargement, flattening, and reactive sclerosis of apposing interspinous surfaces
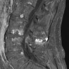
MRI
May demonstrate interspinous bursal fluid and posterocentral epidural cyst(s). MRI can be very helpful in determining whether there is resulting posterior compression of the thecal sac.
FDG-PET/CT
May demonstrate FDG-avidity when associated with an inflammatory response such as bursitis . The best diagnostic clue for avoiding misinterpretation may be scrutinising sagittal multiplanar reconstructions (MPR) and involvement being limited to spinous processes, which is rare in malignancy .
Treatment and prognosis
Local steroid injection into the interspinous processes/ligament region may often ease the back pain. Surgical options include interspinous process decompression devices.
History and etymology
It is named after Christian Ingerslev Baastrup, Danish radiologist (1855-1950) .
Siehe auch:

Assoziationen und Differentialdiagnosen zu Morbus Baastrup: