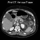
necrotizing acute pancreatitis with peripancreatic necrosis alone
Necrotizing
pancreatitis: peripancreatic necrosis alone. Acute necrotic collections (ANCs), affecting retroperitoneal spaces: left anterior pararenal space, with upper extension to subphrenic space.
Necrotizing
pancreatitis: peripancreatic necrosis alone. Acute necrotic collections (ANCs), affecting retroperitoneal spaces: left anterior pararenal space and lower extension until iliac fossa, affecting left paracolic gutter, posterior pararenal space and left psoas muscle.
Necrotizing
pancreatitis: peripancreatic necrosis alone. Acute necrotic collections (ANCs) on left anterior pararenal space, with upper extension to subphrenic space and lower extension until iliac fossa, affecting left paracolic gutter, posterior pararenal space and left psoas muscle.
Necrotizing
pancreatitis: peripancreatic necrosis alone. Acute necrotic collections (ANCs) on left anterior pararenal space, with upper extension to subphrenic space and lower extension until iliac fossa, affecting left paracolic gutter, posterior pararenal space and left psoas muscle.
Necrotizing
pancreatitis: peripancreatic necrosis alone. Acute necrotic collections (ANCs), affecting retroperitoneal spaces: left anterior pararenal space, with upper extension to subphrenic space.
Necrotizing
pancreatitis: peripancreatic necrosis alone. Acute necrotic collections (ANCs), affecting retroperitoneal spaces: left anterior pararenal space and lower extension until iliac fossa, affecting left paracolic gutter, posterior pararenal space and left psoas muscle.
Necrotizing
pancreatitis: peripancreatic necrosis alone. Acute necrotic collections (ANCs) on left anterior pararenal space, with upper extension to subphrenic space and lower extension until iliac fossa, affecting left paracolic gutter, posterior pararenal space and left psoas muscle.
Necrotizing
pancreatitis: peripancreatic necrosis alone. Acute necrotic collections (ANCs) on left anterior pararenal space, with upper extension to subphrenic space and lower extension until iliac fossa, affecting left paracolic gutter, posterior pararenal space and left psoas muscle.
Necrotizing
pancreatitis: peripancreatic necrosis alone. CT is repeated four weeks later. The walls of these collections show an enhancing wall after intravenous contrast administration, which is indicative of walled-off necrosis (WON).
Necrotizing
pancreatitis: peripancreatic necrosis alone. CT is repeated four weeks later. The walls of these collections show an enhancing wall after intravenous contrast administration, which is indicative of walled-off necrosis (WON).
Necrotizing
pancreatitis: peripancreatic necrosis alone. For treatment, there have been placed three drainage tubes. One of them is placed in the left anterior pararenal space. The other two are placed in left paracolic gutter.
Necrotizing
pancreatitis: peripancreatic necrosis alone. CT is repeated four weeks later. The walls of these collections show an enhancing wall after intravenous contrast administration, which is indicative of walled-off necrosis (WON).
Necrotizing
pancreatitis: peripancreatic necrosis alone. CT is repeated four weeks later. The walls of these collections show an enhancing wall after intravenous contrast administration, which is indicative of walled-off necrosis (WON).
necrotizing acute pancreatitis with peripancreatic necrosis alone

