Senile calcific scleral plaques
Senile calcific scleral plaques, also known as senile scleral plaques, are benign scleral degenerations common in elderly individuals. They are a common incidental finding on CT imaging.
Epidemiology
The prevalence of senile scleral plaques increases with age, from ~2.5% at age 60, to 25% at age 80 years and over. They may be more prominent in women than men.
There are no known systemic associations.
Clinical presentation
These lesions are asymptomatic.
On physical examination, senile scleral plaques appear as flat, well-circumscribed, ovoid scleral patches located lateral or medial to the limbus. The patches appear translucent-blue (due to scleral dehydration and exposure of the underlying uvea), or an opaque grey-white (due to calcification), and tend to be taller than wide (longer in vertical dimension).
Senile scleral plaques occur just anterior to the insertion of the medial and lateral recti muscles. Plaques involving the vertical muscle insertions are very rare .
Pathology
Although the precise etiology is unknown, senile scleral plaques are considered a form of dystrophic calcification, similar to that which occurs in other parts of the body in areas of hyaline degeneration . Various proposed causes include mechanical stress from the rectus muscle insertions, dehydration, and actinic (solar) damage .
Histopathologic evaluation demonstrates calcific deposits within the scleral stroma. These range from fine granular deposits to the confluent plaques which are apparent on imaging. Various staining methods can confirm the presence of calcium, including von Kossa and Alizarin Red stains. Senile calcific plaques were previously thought to represent focal hyalinization of the sclera; however, this has been shown to be false.
Radiographic features
As senile scleral plaques calcify centrally, they become radiologically-evident.
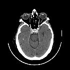
CT
Scleral plaques appear as small ovoid calcifications along the anterior globe, at the site of insertion of the medial and lateral rectus muscles .
Differential diagnosis
Benign senile scleral plaques are a common finding in elderly patients and are generally considered "do not touch" lesions given their commonality and stereotypical appearance.
Less commonly, scleral calcification may occur in the setting of inflammation, lymphoma, or hypercalcemic states. Other specific considerations include:
- foreign body
- atypical shape or location of calcification
- should recommend clinical correlation with physical/ophthalmologic evaluation
- scleral buckle (prosthesis)
- distinct appearance, often encircling, are located more posteriorly, and are placed between the muscle and the globe
- trochlear apparatus calcification
See also
Siehe auch:

Assoziationen und Differentialdiagnosen zu verkalkte senile Plaques der Skleren: