subperiostales Hämatom des Os ilium
Subperiosteal
hematoma of the ilium: an unusual complication of acetabular fracture. The exam is unremarkable.
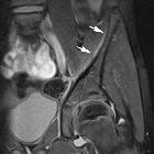
Subperiosteal
hematoma of the ilium: an unusual complication of acetabular fracture. The subperiosteal hematoma (arrowheads) overlies the internal aspect of the right iliac bone. The right iliacus muscle (arrows) is dislocated medially. Within the hematoma, a fluid-fluid level is also seen (asterisk).
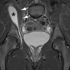
Subperiosteal
hematoma of the ilium: an unusual complication of acetabular fracture. A large subperiosteal hematoma of the iliac bone (asterisk) appears as a hyperintense, lens-shaped lesion delimited between the internal aspect of the right iliac bone and the right iliacus muscle (arrows), which is shifted medially.
Subperiosteal
hematoma of the ilium: an unusual complication of acetabular fracture. Forty days after trauma, the subperiosteal hematoma of the right iliac bone (asterisk) is decreased in size. Within the collection, some clots can be seen (curved arrow).
Subperiosteal
hematoma of the ilium: an unusual complication of acetabular fracture. The “iliac wing sign” consists of linear edema-like signal at the iliacus muscle attachment entering the iliac wing (arrows). This should be differentiated from subperiosteal iliac hematoma as they often share a common clinical presentation.
subperiostales Hämatom des Os ilium
Siehe auch:

Assoziationen und Differentialdiagnosen zu subperiostales Hämatom des Os ilium: