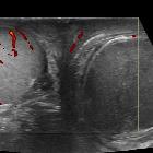
testicular infarction
Ultrasound
image of patient presenting with right testis pain in past 24 hours. Hypoechoic and avascular upper segment of R testis. Segmental testicular infarction.
Global
testicular infarction • Testicular infarction - Ganzer Fall bei Radiopaedia
Global
testicular infarction • Epididymitis leading to testicular infarction - Ganzer Fall bei Radiopaedia
Global
testicular infarction • Testicular infarction secondary to epididymo-orchitis - Ganzer Fall bei Radiopaedia
Global
testicular infarction • Whirlpool sign (testicular torsion) - Ganzer Fall bei Radiopaedia
Hodeninfarkt
testicular infarction
Siehe auch:

Assoziationen und Differentialdiagnosen zu Hodeninfarkt: