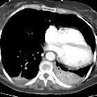
traumatic pericardial rupture