Verkalkungen Tuba auditiva Eustachii
Verkalkungen
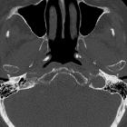
im knorpeligen Anteil der Tuba auditiva eustachii als Zufallsbefund in der Computertomographie bei einer 80-jährigen.
Verkalkungen
im knorpeligen Anteil der Tuba auditiva als zufälliger Nebenbefund.
Verkalkungen der Tuba auditiva Eustachii sind seltene, meist zufällig entdeckte Nebenbefunde in der Computertomographie, über deren klinische Relevanz spekuliert wird. Diskutiert wird eine mögliche Dysfunktion der Tuba auditiva beim Druckausgleich mit dem Mittelohr bei verminderter Elastizität des Knorpels der Tuba auditive durch die Mineraleinlagerungen.
Ausführlicher wird das Thema in Rare finding of Eustachian tube calcifications with cone-beam computed tomography (Imaging Sci Dent. 2017 Dec;47(4):275-279. English.) diskutiert.
Siehe auch:
und weiter:

Assoziationen und Differentialdiagnosen zu Verkalkungen Tuba auditiva Eustachii: