Direkt zum Inhalt
pacs
Toggle navigation
Merkliste
Stöbern
Hilfe
Impressum / Nutzungsbedingungen
Datenschutzerklärung
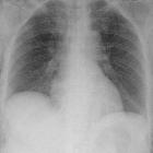
Weichteilemphysem nach Laparoskopie
Suche
Weichteilemphysem
nach Laparoskopie ohne Pneumothorax oder Mediastinalemphysem
Wikipedia
•
CC BY-SA 4.0
Hallo!
Lizenz: CC BY-SA 4.0
Weichteilemphysem nach Laparoskopie
Siehe auch:
Weichteilemphysem
Assoziationen und Differentialdiagnosen zu
Weichteilemphysem nach Laparoskopie
:
Weichteilemphysem
www.eurorad.org
•
CC by-nc-sa-4.0