Direkt zum Inhalt
pacs
Toggle navigation
Merkliste
Stöbern
Hilfe
Impressum / Nutzungsbedingungen
Datenschutzerklärung
Zwerchfellschrittmacher
Suche
Undine-Syndrom
mit Phrenicus-Stimulator
Wikipedia
•
CC BY-SA 4.0
Zwerchfellschrittmacher
bei Undine-Syndrom
Wikipedia
•
CC BY-SA 3.0
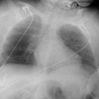
Zwerchfellschrittmacher
/ N. phrenicus - Stimulator im Röntgenbild. Röntgendichte Sondenspitzen am N. phrenicus beidseits auf den Herzrand projiziert.
Wikipedia
•
CC BY-SA 4.0
Hallo!
Lizenz: CC BY-SA 4.0
Zwerchfellschrittmacher
Siehe auch:
Undine-Syndrome
Assoziationen und Differentialdiagnosen zu
Zwerchfellschrittmacher
:
Undine-Syndrome
Wikipedia
•
CC BY-SA 4.0