abgehängter Pankreasgang
Disconnected pancreatic duct syndrome, also referred only as disconnected pancreatic duct, refers to the symptoms and complications due to the complete discontinuity of the main pancreatic duct between segments of viable secreting pancreatic tissue and the duodenum, usually seen as a sequela of necrotizing pancreatitis.
For traumatic related pancreatic duct transection, please refer to the article on pancreatic trauma.
Epidemiology
Although mostly reported as a complication of acute necrotizing pancreatitis, it can be also seen after pancreatic traumatic injury with segmental necrosis .
Radiographic features
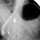
ERCP
Endoscopic pancreatography shows active extravasation of contrast injected into the main pancreatic duct .
CT
- area of pancreatic necrosis/absence of normal parenchyma of at least 2 cm
- normally enhancing pancreatic tissue upstream to this point
- the angle between the walled-off necrosis and the pancreatic duct is nearly 90°
MR
MR cholangiopancreatography (MRCP) enhanced with secretin is recommended as it can potentially enhance leakage .
Treatment and prognosis
Most cases will require surgery or endoscopic management .
Complications
Pancreatic duct discontinuity is associated with leakage of the pancreatic enzymes and, therefore, has potential complications similar to pancreatitis.
- pancreatic fistula
- pancreatic ascites
- pancreaticopleural fistulas
- pseudoaneurysms
Siehe auch:
und weiter:

Assoziationen und Differentialdiagnosen zu abgehängter Pankreasgang: