Direkt zum Inhalt
pacs
Toggle navigation
Merkliste
Stöbern
Hilfe
Impressum / Nutzungsbedingungen
Datenschutzerklärung
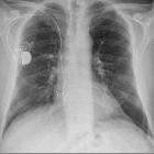
Adams-Stokes-Syndrom
Suche
Lizenz: CC BY-SA 4.0
Adams-Stokes-Syndrom
Siehe auch:
AV-Block
Sick-Sinus-Syndrom
SA-Block
Assoziationen und Differentialdiagnosen zu
Adams-Stokes-Syndrom
:
AV-Block
Wikipedia
•
CC BY-SA 3.0
Sick-Sinus-Syndrom
Wikipedia
•
CC BY-SA 4.0