Artefakte in der Computertomographie
Atemartefakte
in der Computertomographie Lunge: Links axial mit Darstellung der Gefäße als Bögen unter denen die Transparenz scheinbar erhöht ist. Rechts coronare Rekonstruktion.
Atemartefakte
in der Computertomographie: In der sagittalen Rekonstruktion sieht man den alternierenden Versatz der vorderen Bauchwand durch die Atemexkursionen. (Hautgrenze bei Adipositas nicht mit im Bild)
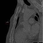
Atemartefakt
in sagittaler CT-Rekonstruktion bei Polytrauma: Die Unterbrechung im oberen Anteil des Corpus sterni könnte mit einer Fraktur verwechselt werden. Die Verwerfung der Hautkontur auf gleicher Höhe löst diesen Verdacht als Atemartefakt auf. Weitere Atembewegungen weiter kaudal.
Aufhärtungsartefakte
in der Computertomographie durch eine Hüftendoprothese.
Artefakte in der Computertomographie
Siehe auch:
- Atemartefakte
- Ringartefakte
- Aufhärtungsartefakte
- Bewegungsartefakte
- Kontrastmittelfluss-Artefakte
- Spiralartefakte in der Computertomographie
- gas bubble artifact
- Stufenbildung bei multiplanarer Rekonstruktion
und weiter:

Assoziationen und Differentialdiagnosen zu Artefakte in der Computertomographie: