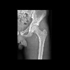
Avulsionsfraktur Trochanter minor
Avulsionsfraktur Trochanter minor
Avulsionsfraktur Radiopaedia • CC-by-nc-sa 3.0 • de
Avulsion injuries or fractures occur where the joint capsule, ligament, tendon or muscle attachment site is pulled off from the bone, usually taking a fragment of cortical bone. Avulsion fractures are commonly distracted due to the high tensile forces involved. There are numerous sites at which these occur. Being familiar with them is important as subacute/chronic injuries can appear aggressive.
Epidemiology
Avulsion injuries are common among those who participate in sports, in particular adolescents.
Pathology
Avulsion fractures can be classified as acute, subacute or chronic. In acute avulsion fractures, there is usually a clear preceding traumatic incident. Subacute and chronic avulsion injuries can be due to delayed presentation of an acute injury or secondary to repetitive use / overuse injuries .
The mechanism is from either :
- high muscle activity
- forced extreme range of motion
Location
Shoulder girdle
- greater tuberosity: insertion of rotator cuff
- lesser tuberosity: insertion of subscapularis (rare)
- coracoclavicular avulsion
Elbow
- medial epicondyle: apophyseal avulsion in children
- see also medial epicondylar fracture
- coronoid process: insertion of capsule
- biceps tubercle of the radius: insertion long head of biceps
- olecranon process: insertion of triceps
Hand
- base of middle phalanx: volar plate avulsion injury
- distal phalanx: Mallet finger
Pelvis and hip
- iliac crest avulsion: anterior abdominal wall muscles
- anterior superior iliac spine (ASIS) avulsion: tensor fascia lata and sartorius
- anterior inferior iliac spine (AIIS) avulsion: straight head of rectus femoris
- greater trochanter: hip rotator cuff
- lesser trochanter: iliopsoas
- ischial tuberosity avulsion: hamstring muscles
- body and inferior ramus of pubic bone: thigh adductors and gracilis
Knee
- intercondylar area: anterior cruciate ligament
- posterior tibial plateau/intercondylar area: posterior cruciate ligament
- inferior pole of patella: patellar tendon
- see also: Sinding-Larsen-Johansson syndrome and Jumper's knee
- tibial tuberosity avulsion fracture: tibial tuberosity/patellar tendon
- see also Osgood-Schlatter disease
- lateral tibial plateau: lateral capsule
- head of fibula: lateral collateral ligament and biceps femoris
- medial aspect of femoral condyle: medial collateral ligament
- see also: Pellegrini Stieda lesion
Ankle and foot
- calcaneal tuberosity avulsion fracture: insertion of calcaneal tendon
- anterior process of the calcaneum: insertion of bifurcate ligament
- dorsolateral process of the calcaneum: insertion of extensor digitorum brevis muscle
- avulsion fracture 5 metatarsal styloid: insertion of peroneus brevis tendon
- superior peroneal retinaculum avulsion fracture
Radiographic features
Many avulsion fractures are apparent of plain radiographs. The avulsed bone fragment is typically displaced in the direction of the tendon, ligament or joint capsule which is attached to it . CT and/or MRI may be required for detection and further characterization. Appearances will vary depending on classification :
- acute: avulsed bone fragment with donor site and typically associated soft tissue swelling / joint effusion
- subacute: fracture healing results in a mixed lytic/sclerotic appearance
- chronic: sclerosis and osseous hypertrophy
On MR small avulsion fractures can easily be missed, as the avulsed cortical fragment is often poorly visualized, and the bone marrow edema is absent at the site of injury .
Treatment and prognosis
Most avulsion injuries/fractures are treated non-operatively .
Differential diagnosis
- accessory ossicle (some authors postulate that some accessory ossicles are the result from avulsion injuries, e.g. os subfibulare)
- unfused ossification center
Siehe auch:

Assoziationen und Differentialdiagnosen zu Avulsionsfraktur Trochanter minor: