Bandscheibenprotrusion
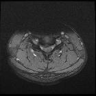
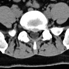
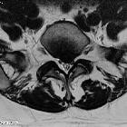
Disc protrusions are a type of disc herniation characterized by protrusion of disc content beyond the normal confines of the intervertebral disc, over a segment less than 25% of the circumference of the disc. The width of the base is wider than the largest diameter of the disc material which projects beyond the normal disc margins. The protrusion must not extend above or below the relevant vertebral endplates .
A disc protrusion is also described in terms of its axial position, into central, subarticular, foraminal, extraforaminal, or anterior locations .
Additionally, the terms contained (outer annulus fibrosus laminae are intact) and non-contained (all laminae are deficient) are also sometimes used .
Terminology
Disc bulge is distinguished from a disc protrusion in that it involves more than 25% of the circumference.
A disc extrusion is distinguished from a disc protrusion in that the base of the protruded disc material is narrower than its 'dome'. Furthermore, this material may extend above or below the disc level.
Note: A number of definitions of what exactly constitutes a disc protrusion have been proposed/used over the years, and it is important to realize that these differ substantially from one another . At the time of writing (June 2020) the most recent and widely used terminology was proposed in 2014 by Fardon et al and represents a consensus of the North American Spine Society, the American Society of Spine Radiology, and the American Society of Neuroradiology .
Siehe auch:
- disc bulge
- annulus fibrosus
- Diskusprolaps
- Bandscheibenextrusion
- lumbar disc disease
- Nomenklatur Diskuspathologien
- Bandscheibensequester
- Bandscheibe
und weiter:

Assoziationen und Differentialdiagnosen zu Bandscheibenprotrusion: