Bezoar
Bezoars are accumulations of indigestible contents within the gastrointestinal tract .
Pathology
There are several types depending on the predominant components:
- diospyrobezoar is a subtype of phytobezoar secondary to the consumption of unripe persimmons
Associations
- previous gastric surgery
- psychiatric illness
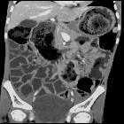
Radiographic features
They are known to cause small bowel obstruction and sometimes CT may demonstrate the bezoar as a mass in the obstructed segment of bowel. The bezoar may be outlined by fluid in the proximally dilated small bowel, and the mass may be mottled owing to air trapped within it.
History and etymology
Premodern medicine considered bezoars a special kind of stone with antidote properties. Until the 18 century a gold mounted bezoar was included in the crown jewels. Some ancient pharmacopoeias list 'unicorn horns' as an acceptable alternative if a bezoar is not available. In the late 15 century, Eastern porcupine bezoars were considered especially valuable .
Differential diagnosis
- in small bowel loops consider small bowel feces sign
See also
Siehe auch:
- Dünndarmileus
- Trichobezoar
- Ileus durch Bezoar
- bezoar in the stomach
- Trichobezoar in Magen und Duodenum
- Trichobezoar im Duodenum
und weiter:

Assoziationen und Differentialdiagnosen zu Bezoar: