Broad ligament hernia
Broad ligament hernias (alternative plural: herniae) are a type of internal hernia in which small bowel passes through a congenital or acquired defect in the broad ligament.
Epidemiology
Broad ligament herniation is very rare and accounts for 4%-7% of all internal hernias .
Clinical presentation
The presentation is that of a small bowel obstruction.
Pathology
Broad ligament hernia occurs when small bowel protrudes through a fenestration in the broad ligament.
These defects may be unilateral or bilateral, and congenital or secondary.
Congenital (primary) defects in the broad ligaments are peritoneal developmental defects.
Acquired (secondary) broad ligament defects may be caused by trauma, surgery, pregnancy, and spontaneous rupture of pelvic cystic lesions .
Classification
A classification for broad ligament hernias was proposed by Cilley et al, based on the defect's anatomical location :
- type I: defect through the entire broad ligament
- type II: defect through the mesovarium and mesosalpinx above the round ligament
- type III: defect through the mesoligamentum teres, between broad and round ligaments
Radiographic features
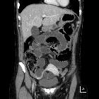
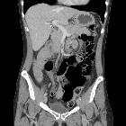
CT
Features are those of a pelvic small bowel closed-loop obstruction:
- small bowel dilatation
- double transition point in pelvic location, lateral to the uterus.
- pelvic free fluid
Treatment and prognosis
A broad ligament hernia is treated surgically with reduction of the hernia and closure of the broad ligament defect.
To avoid recurrence, exploration of the contralateral broad ligament should be systematic, since these defects can be bilateral.
Complications
Delay in diagnosis may lead to intestinal necrosis and perforation.
History and etymology
The first case of broad ligament hernia was described in an autopsy by Quain in 1861 .
Differential diagnosis
Closed-loop small bowel obstruction due to adhesive band is the main differential.

