chronische Periaortitis
Chronic periaortitis is an inflammatory condition which typically involves the infrarenal portion of the abdominal aorta. It is a rare disease usually occurring in middle-aged men.
It has various clinical presentations:
- idiopathic retroperitoneal fibrosis (IRF)
- perianeurysmal retroperitoneal fibrosis
- inflammatory abdominal aortic aneurysm (IAAA)
- isolated periaortitis
Isolated periaortitis corresponds to the non-aneurysmal form of chronic periaortitis and is less frequently encountered.
An exaggerated inflammatory response to advanced atherosclerosis has been thought to be the main pathogenetic process. Autoimmunity has been proposed as a contributing factor.
Epidemiology
The term IRF may be misleading since it is no longer considered idiopathic but secondary to advanced atherosclerosis, and is probably an autoimmune process. The majority of cases are idiopathic (>70%); the remainder occurs in association with inflammatory disorders, malignancies or medications.
- idiopathic retroperitoneal fibrosis (IRF)
- the estimated annual incidence of 0.2-0.5 per 100,000
- no ethnic variation
- 40-60 years
- men are more commonly affected (2:1 to 3:1)
- inflammatory abdominal aortic aneurysm (IAAA)
- the triad of a thickened aneurysmal wall, extensive perianeurysmal fibrosis and adhesions
- 3-10% of abdominal aortic aneurysms
- male to female ratio is 6:1 to 30:1
- mean age at presentation ~62-68 years
In a minority of cases, retroperitoneal fibrosis is not idiopathic but secondary to:
- metastatic disease
- lymphoma
- sarcoidosis
- carcinoid
Clinical presentation
Symptoms:
- most common: dull diffuse back/abdominal/flank pain (80%)
- other: fever, weight loss, anorexia, vomiting, malaise, claudication, testicular pain, ureteral colic
Ureteral obstruction leading to unilateral or bilateral hydronephrosis and consequent renal insufficiency is the most typical presentation of IRF. In IAAA the entrapment of ureters by fibrous periaortic tissue may lead to obstructive uropathy in 10-21% of patients.
Pathology
The major pathogenetic process leading to chronic periaortitis is inflammation, caused by advanced atherosclerosis. Lymphocyte populations, periaortic inflammation and fibrosis have been demonstrated in histologic specimens of IRF and IAAA.
Autoimmunity to several components (oxidized-low density lipoproteins and ceroid) of atherosclerotic plaque has been proposed as the antigenic stimulus in the initiation of the inflammatory process.
Associations
The association of periaortitis with various autoimmune diseases has been reported, supporting the concept of autoimmunity. Periaortitis can be seen with:
- systemic lupus erythematosus
- rheumatoid arthritis
- ankylosing spondylitis
- granulomatosis with polyangiitis
- polyarteritis nodosa
- giant cell arteritis
Markers
Elevated ESR is seen in 80-90% of patients.
Radiographic features
Ultrasound
- retroperitoneal fibrosis may be defined as hypoechoic or anechoic
- the mass surrounding the aorta is usually well-demarcated but irregularly contoured
- varying degrees of hydronephrosis and hydroureter may result
- comprehensive evaluation of the prevertebral and paravertebral lumbar spine is essential
- the overall sensitivity of sonography is poor
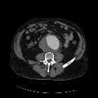
CT
The definitive diagnostic test is contrast-enhanced CT scanning or MRI. Both CT and MRI typically show a periaortic soft tissue mass as a rind of abnormal tissue around the aorta, with a varying extent of spread.
- in IAAA the aorta is aneurysmal
- in isolated periaortitis, the aorta is not aneurysmal and surrounded by a mantle of soft-tissue density
- in IRF, there is usually entrapment of one or both ureters
- fibrosis often manifests as a paraspinal, well-demarcated but irregular retroperitoneal mass, isodense to surrounding muscle
- with CE-CT the periaortic mass usually shows varying degree of enhancement; the degree of enhancement correlates with the activity of the fibrotic process
- in acute stages, avid enhancement is seen, with an increase of 20-60HU
- in chronic disease, little or no enhancement may be seen
- in approximately 1/3 of patients with proven retroperitoneal fibrosis, no abnormality is seen
- in malignancy the fibrosis has a tendency to be larger and bulkier; the sensitivity and specificity of morphologic features are rather poor
- CT-guided biopsy is usually adequate to exclude malignancy in IRF, occasionally multiple deep biopsies may be required
MRI
- periaortitis typically hypointense on T1 and hyperintense on T2
- with gadolinium-enhanced MRI, the inflammatory cuff enhances homogeneously
FDG-PET
PET scan and PET-CT with 18F-fluorodeoxyglucose (FDG) is a reliable tool for assessing the metabolic activity of the mass: in early inflammatory stages the uptake is avid, in the late fibrotic stage there might be no uptake.
It is also useful to detect other sites of inflammation and disclosing infectious or neoplastic lesions to which periaortitis can be secondary or associated with.
Treatment and prognosis
Treatment
Steroids have been used along with surgery with good results.
Medical
- steroids are usually effective in chronic periaortitis but their role remains somewhat controversial. There is no accepted standard for dose and duration of steroid treatment
- immunosuppressive drugs such as Azathioprine and Methotrexate have been used effectively as steroid-sparing agents and in patients unresponsive to steroids alone.
- Cyclophosphamide may be useful in severe cases (if vasculitis is present)
Surgical
- ureterolysis with lateral transposition of the ureters and wrapping with omentum is the procedure of choice in patients with hydronephrosis in IRF
- ureteral stents are also used
- operative repair of an aneurysm is the definitive treatment for IAAA. Surgery is performed when the diameter of the aorta is >5 cm
Prognosis
The prognosis for patients with benign retroperitoneal fibrosis is considered to be good. In most instances IRF does not lead to long-term morbidity. Malignant retroperitoneal fibrosis has a mean survival of 3-6 months.
See also
Siehe auch:
- Morbus Bechterew
- Polyarteriitis nodosa
- Sarkoidose
- Rheumatoide Arthritis
- Lymphom
- Granulomatose mit Polyangiitis
- Morbus Ormond
- Aortitis
- systemischer Lupus Erythematodes
- Riesenzellarteriitis
- inflammatory abdominal aortic aneurysm
- isolated periaortitis
- retroperitoneale Fibrose allgemein
und weiter:

Assoziationen und Differentialdiagnosen zu chronische Periaortitis: