diaphragmatic rupture
Diaphragmatic rupture often results from blunt abdominal trauma. The mechanism of injury is typically a motor-vehicle collision.
Epidemiology
Given that the most common mechanism is motor vehicle collisions, it is perhaps unsurprising that young men are most frequently affected. The estimated incidence is ~4.5% (range 0.8-8%) of patients who sustain blunt abdominal or lower thoracic trauma .
Clinical presentation
It is frequently not recognized at the time of trauma and the interval between injury and the onset of symptoms. However, if the diagnosis is not made in the first 4 hours, it may be undiagnosed for months or years.
Pathology
The left hemidiaphragm is involved three times more frequently than the right, possibly because the liver has a buffering effect. The most common site of rupture is the posterolateral aspect of the hemidiaphragm between the lumbar and intercostal muscle slips. Ruptures occur radially and most are >10 cm in length . The most commonly herniated viscera are the stomach and colon .
It is rare to see rupture of the diaphragm without evidence of abdominal trauma, although this may be seen in the context of iatrogenic injury.
Radiographic features
Plain radiograph
Specific diagnostic findings of diaphragmatic rupture on chest radiographs may not be seen in up to 50% of cases . However, the following signs are helpful in making the diagnosis:
- inability to trace the normal hemidiaphragm contour
- intrathoracic herniation of a hollow viscus (stomach, colon, small bowel) with or without focal constriction of the viscus at the site of the tear (collar sign)
- if large, the positive mass effect may cause a contralateral mediastinal shift
- visualization of a nasogastric tube above the hemidiaphragm on the left side
- left hemidiaphragm much higher than the right
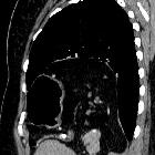
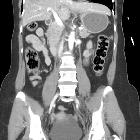
CT
Direct discontinuity of the hemidiaphragm may be seen with or without intrathoracic herniation of abdominal contents. The stomach and colon are the most common viscera to herniate on the left side and the liver is the most common viscus to herniate on the right side.
Other signs of diaphragmatic rupture include:
- the collar sign (or hourglass sign): a waist-like constriction of the herniating hollow viscus from the abdomen into the chest at the site of the diaphragmatic tear, which is classical for diaphragmatic rupture
- the dependent viscera sign: when a patient with a ruptured diaphragm lies supine at CT examination, the herniated viscera (bowel or solid organs) are no longer supported posteriorly by the injured diaphragm and fall to a dependent position against the posterior ribs
- segmental non-recognition of the diaphragm
- focal diaphragmatic thickening
- thoracic fluid abutting the abdominal viscera
Indirect features include:
Imaging mimics of diaphragmatic injury include:
- diaphragmatic herniae
- eventration of the diaphragm
- discontinuity of the lateral arcuate ligament
Complications
- gastrointestinal strangulation
- gastric volvulus
- tension gastrothorax
Siehe auch:
und weiter:
- upside-down-Magen
- Zwerchfellhernie
- Zwerchfell
- vegetable and plant inspired signs
- organo-axial gastric volvulus
- mesenteroaxialer Magenvolvulus
- collar sign in diaphragmatic rupture
- traumatische Zwerchfellruptur
- CT assessment of the trauma patient (mnemonic)
- the dependent viscera sign
- Leberhernierung
- dependant viscera sign

Assoziationen und Differentialdiagnosen zu Zwerchfellruptur: