Endometriose der Appendix
Endometriosis
of the Appendix. The US revealed a homogenous hypoechoic and thick-walled tubular lesion with regular forms located at the pericecal area. No internal vascularity was noted.
Endometriosis
of the Appendix. The US revealed a homogenous hypoechoic and thick-walled tubular lesion with regular forms located at the pericecal area. No internal vascularity was noted.
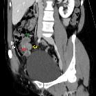
Endometriosis
of the Appendix. CT exam depicted a nonspecific focal mass (yellow arrow) in the distal third of the appendix without any evidence of inflammation
Endometriosis
of the Appendix. CT depicted a nonspecific focal mass in the distal third of the appendix without any evidence of inflammation
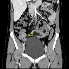
Endometriosis
of the Appendix. Coronal modified view better depits the relation of the appendiceal mass (yellow arrow) with the ileum (green arrowhead), appendix (red arrow pinpointing the air bubble in its lumen) and the cecum (white arrowheads)

Assoziationen und Differentialdiagnosen zu Endometriose der Appendix: