Gorham disease
Gorham disease or vanishing bone disease is a poorly understood rare skeletal condition which manifests with massive progressive osteolysis along with a proliferation of thin walled vascular channels. The disease starts in one bone but may spread to involve adjacent bony and soft tissue structures.
Terminology
Other names for this condition include progressive massive osteolysis, Gorham-Stout disease, and phantom bone disease.
Epidemiology
Gorham disease is thought to be non-hereditary and there is no recognized gender predilection. It can potentially occur in any age group although most reported cases have been in young adults .
Clinical presentation
Signs and symptoms are incredibly varied depending on the bones involved, and may only become apparent after a fracture.
Pathology
The osteolysis is thought to be due to an increased number of stimulated osteoclasts , which is likely secondary to abundant non-neoplastic vascular and lymphatic proliferation in the affected region . The bone is subsequently replaced by variable amounts of fibrous connective tissue that is hypervascular.
Location
Gorham disease can potentially involve any bone. Reported sites include:
- humerus (first reported case)
- shoulder girdle
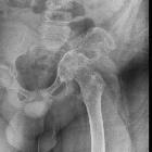
- pelvis
- skull
- mandible
Splenic lesions (cysts) and soft-tissue involvement underlying skeletal disease represent characteristic extraskeletal manifestations supporting the diagnosis .
Radiographic features
Plain radiograph and CT
- intramedullary or subcortical lucent foci may be the earliest manifestation
- this progresses to profound osteolysis with resorption of affected bone and lack of compensatory osteoblastic activity or periosteal reaction
Scintigraphy
- Tc bone scan may initially be positive but later becomes negative with ongoing bone resorption
History and etymology
It was first reported by Jackson in 1838 and later defined by Gorham and Stout in 1955 .
Differential diagnosis
Imaging differential considerations include:
- generalized lymphatic anomaly
- multifocal lymphatic malformations, including intramedullary bone lesions
- does not classically cause progressive osteolysis
- osteolytic metastases
- osteolytic primary bone lesion
- multiple myeloma
- osteomyelitis
- rapidly progressive osteoarthritis
- Milwaukee shoulder
- multicentric carpal tarsal osteolysis
Siehe auch:
- Angiosarkom
- bilaterale parietale Ausdünnung Schädelkalotte
- Mastozytose
- Hajdu-Cheney-Syndrom
- Hereditäre idiopathische Osteolyse Typ IV Thieffry-Shurtleff
- idiopathische Osteolyse
und weiter:

Assoziationen und Differentialdiagnosen zu Gorham-Stout-Syndrom: