Kokain induzierte Kardiomyopathie
Dilated
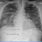
cardiomyopathy secondary to chronic cocaine abuse: a case report. Chest X-ray- bilateral patchy opacities.
Dilated
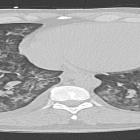
cardiomyopathy secondary to chronic cocaine abuse: a case report. Computed tomography of the chest without contrast - bilateral peribronchovascular airspace consolidation, ground-glass opacity with interlobular septal thickening.
Kokain induzierte Kardiomyopathie
Kardiomyopathie Radiopaedia • CC-by-nc-sa 3.0 • de
Cardiomyopathy is defined as a "disease of the myocardium with associated cardiac dysfunction" . It has been classified according to several systems:
- 1995 WHO/ISFC cardiomyopathy classification system
- Elliott et al. classification system: published by the European Society of Cardiology Working Group on Myocardial and Pericardial Diseases
Siehe auch:

Assoziationen und Differentialdiagnosen zu Kokain induzierte Kardiomyopathie: