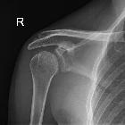
Loss of normal half-moon overlap sign (shoulder)
Loss of
normal half-moon overlap sign (shoulder) • Normal overlap of humerus and glenoid (diagram) - Ganzer Fall bei Radiopaedia
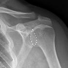
Loss of
normal half-moon overlap sign (shoulder) • Posterior shoulder dislocation - Ganzer Fall bei Radiopaedia
Loss of half-moon overlap sign, which does not really roll off the tongue, is a sign of posterior shoulder dislocation on AP radiographs.
On a normal true anteroposterior image, there is a half-moon overlap between the humeral head and the glenoid. In a posteriorly dislocated shoulder, there is lateral displacement of the humeral head with respect to the glenoid (losing the half-moon overlap).

