Lungenembolie durch Echinokokkose
A strange
case of pulmonary embolism. Chest X-ray shows multiple bilateral nodular opacities (arrows) associated with parenchymal bands
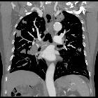
A strange
case of pulmonary embolism. Follow up CT shows a marked increase of the pulmonary artery tree involvement.
Lungenembolie durch Echinokokkose
Siehe auch:

Assoziationen und Differentialdiagnosen zu Lungenembolie durch Echinokokkose: