Metastasen im Sternum
Sternal
metastasis as an initial presentation of renal cell carcinoma: a case report. Metastatic bone disease. Bone scintigram shows uptake in the sternal body.
Sternal
metastasis as an initial presentation of renal cell carcinoma: a case report. Thoracic CT scan showing soft-tissue mass in the sternum.
Sternale und
insgesamt diffuse Metastasierung bei entdifferenziertem Prostatakarzinom.
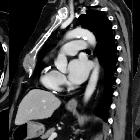
Sternale
Metastase im Manubrium mit Weichteilanteil bei Adenokarzinom des Ovars.
Ausgeprägte
gemischte osteolytisch, vor allem aber osteoblastische ossäre Metastasierung bei Mammakarzinom mit nahezu kompletter skelettaler Durchsetzung. Beachte auch die Volumenmehrung des Sternums.
Assoziationen und Differentialdiagnosen zu Metastasen im Sternum:
