minimalinvasive Osteosynthese
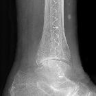
Intramedulläre
Osteosynthese am Außenknöchel mit Illuminoss. Polymerimplantat für minimalinvasive Frakturstabilisierung. Vorteil: Minimalinvasiv einzubringen z.B. bei Weichteilinfekt. Monomer wird lichtinduziert polymerisiert.
Intramedulläre
Osteosynthese am Außenknöchel mit Illuminoss. Polymerimplantat für minimalinvasive Frakturstabilisierung. Vorteil: Minimalinvasiv einzubringen z.B. bei Weichteilinfekt. Monomer wird lichtinduziert polymerisiert.
minimalinvasive Osteosynthese
Siehe auch:
und weiter:

Assoziationen und Differentialdiagnosen zu minimalinvasive Osteosynthese: