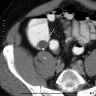
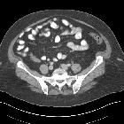
neoplasms of the appendix
There are a number of neoplasms that can involve the vermiform appendix, some of which are peculiar to this site.
Epidemiology
Tumors involving the appendix have been found in only about 1% of all appendectomy specimens . Epithelial neoplasms and neuroendocrine tumors represent the vast majority of the tumors affecting the appendix.
Clinical presentation
Symptoms may vary from patients being completely asymptomatic, such as in small benign neuroendocrine tumors, to a clinical picture of acute appendicitis, which is reported in ~40% of cases and is most commonly seen associated with neuroendocrine tumors .
Mucinous neoplasms can lead to abdominal pain, gastrointestinal obstruction, and abdominal distension when the complication pseudomyxoma peritonei has developed.
Carcinoid syndrome related to malignant neuroendocrine tumors is rare, present in less than 5% of patients with this tumor.
Siehe auch:
- Mukozele der Appendix
- muzinöse Neoplasien der Appendix
- neuroendokriner Tumor der Appendix
- muzinöses Zystadenokarzinom der Appendix
- Adenokarzinom der Appendix
- Karzinoid der Appendix
- appendiceal adenoma
- appendiceal mucinous adenoma
- appendiceal paraganglioma
- appendiceal lymphoma
- appendiceal ganglioneuroma
- appendiceal mucinous cystadenoma
- adenocarcinoid of the appendix
- appendiceal mucinous adenocarcinoma
und weiter:

Assoziationen und Differentialdiagnosen zu Tumoren der Appendix: