niedriggradiges Gliom
The
importance of fMRI and DTI in the presurgical planning of multicentric low-grade gliomas: a case report.. Axial FLAIR (Fluid Attenuated Inversion Recovery) images (A, B) reveal the high signal intensity of the two lesions located at the right temporal lobe and the left frontotemporal lobe regions respectively accompanied with ring-like oedema.
The
importance of fMRI and DTI in the presurgical planning of multicentric low-grade gliomas: a case report.. Axial FA colour-mapping images (A-D). The tumours, located at the right temporal and left frontotemporal regions, are visualized as a well-circumscribed bluish area, which is characteristic of low fractional anisotropy.
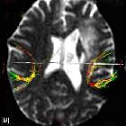
The
importance of fMRI and DTI in the presurgical planning of multicentric low-grade gliomas: a case report.. DTI tractography images (A-C) demonstrating the right and left arcuate fasiculli. The left one is not invaded but slightly displaced, while the right one is completely unaffected by the tumour.
niedriggradiges Gliom
Siehe auch:
und weiter:

Assoziationen und Differentialdiagnosen zu niedriggradiges Gliom: