periosteal reaction
Periosteal reaction, also known as periostitis or periosteitis, is a nonspecific radiographic finding that indicates periosteal irritation. Periosteal reactions may be broadly characterized as benign or aggressive, or more specifically categorized by pattern.
Classification
Benign versus aggressive
Periosteal reaction may be classified as benign or aggressive (note: not benign and malignant) based on the time course of the initiating process.
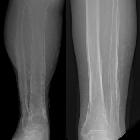
Benign periosteal reaction
Low-grade chronic irritation allows time for the formation of normal or near-normal cortex. The cortex will be thick and dense and have a wavy or uniform appearance.
Benign periosteal reactions can be seen in callus formation in a fracture or with slowly growing tumors.
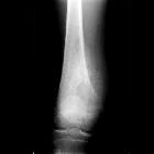
Aggressive periosteal reaction
Rapid irritative processes do not allow the periosteum time to lay down and consolidate new bone to form normal cortex. The cortex may appear lamellated, amorphous, or sunburst-like.
Aggressive periosteal reactions can not only be seen with malignant tumors, but also with more benign processes like infection, eosinophilic granuloma (Langerhans cell histiocytosis), aneurysmal bone cyst, osteoid osteoma, hemophilia , and trauma.
Morphological classification of periosteal reactions
More specific classification of periosteal reactions can be made to narrow the differential diagnosis.
- single layer
- multilayered
- solid
- spiculated
- perpendicular (hair-on-end)
- divergent (sunburst)
- sloping (velvet)
- disorganized/complex
- Codman triangle
Siehe auch:
- Codman-Dreieck
- Osteomyelitis
- Osteoid-Osteom
- Okkulte Fraktur
- Aneurysmatische Knochenzyste
- solide Periostreaktion
- Sunburstzeichen
- skeletale Manifestationen der Langerhanszell-Histiozytose
- single layer periosteal reaction
- Osteitis
- periostale Tumoren
- Osteoperiostitis
- spikulierte Periostreaktion
- lamellenartige Periostreaktion
- Prostaglandin induzierte Periostreaktion
- posttraumatische zystische Knochenläsion
- infection
- disorganised / complex
und weiter:
- Chondrosarkom
- Tendovaginitis
- primäre hypertrophe Osteoarthropathie
- periostales Osteosarkom
- osteosarcoma with sunburst periosteal reaction
- Periost
- disorganised periosteal reaction
- bone leprosy of the feet
- ossified subperiosteal haematoma
- Knochentumor Verkalkungen
- multi-centric reticulohistiocytosis
- longitudinal stress fracture

Assoziationen und Differentialdiagnosen zu Periostreaktion: