pontines Hamartom
Four-year
follow-up study in a NF1 Boy with a focal pontine hamartoma. Neuroradiological and clinical evaluation performed at admission in the child and his father. MRS positioned on the brainstem and subcortical cerebellar white matter on the basis of FLAIR signal alteration images (A); presence of numerous cafe´ au lait patches in the child (B); MRS documented increased Cho/Cr resonance intensities in the voxels located inside and at the border of the MRI signal alterations in the brainstem (inside mean value Cho/Cr: 2.43; at the border Cho/Cr: 1.70 (C, D), in normal appearing white matter between the cerebellar hemispheres (right side Cho/Cr: 2.06 (E) (left side Cho/Cr: 0.80 (F). MRSI voxels at the level of focal cerebellar lesion documented Cho/Cr: 1.29 (G). Nor brain lesions neither metabolic changes in the father’s MRS (H).
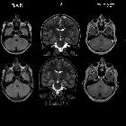
Four-year
follow-up study in a NF1 Boy with a focal pontine hamartoma. MRI (Flair, T2, and T1 sequences) performed in the child at the admission (2007) and four years later (2010). 2007: Hamartoma in the right pontine region and swallen aspect of the omolateral cortico-spinal tract. High signal intensity foci diffuse in the cerebellar emispheres (T2 hyperintensities). 2010: unmodified size of the pontine hamartoma and persistent bulge of the right cortico-spinal tract. Unchanged the UBOs lesions too.

