puff of smoke sign
Moyamoya
disease • Moyamoya disease - Ganzer Fall bei Radiopaedia
Puff of smoke
sign • Moyamoya - Ganzer Fall bei Radiopaedia
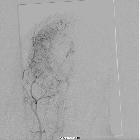
The puff of smoke sign describes the characteristic angiographic appearance of tiny abnormal intracranial collateral vessel networks in moyamoya disease. Progressive narrowing of the supraclinoid internal carotid arteries and circle of Willis vessels results in extensive small collateral arterial networks evolving from the lenticulostriate and choroidal arteries. When viewed angiographically, the abnormal collaterals simulate smoke emanating away from the major supplying artery.
Siehe auch:

Assoziationen und Differentialdiagnosen zu puff of smoke sign: