Rippenklammern
Osteosynthese
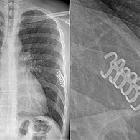
bei instabilem Thorax bei Rippenserienfraktur mit Rippenklammern.
Osteosynthese
bei instabilem Thorax bei Rippenserienfraktur mit Rippenklammern.
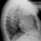
Rekonstruktion
instabile Brustwand Rippenklammern. Neben den versorgten Rippenfrakturen beidseits weitere weniger verschobene Frakturen.

Assoziationen und Differentialdiagnosen zu Rippenklammern: