Direkt zum Inhalt
pacs
Toggle navigation
Merkliste
Stöbern
Hilfe
Impressum / Nutzungsbedingungen
Datenschutzerklärung
Salmonellenkolitis
Suche
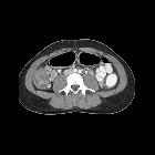
Teenager with
diarrhea and emesis. Axial CT with contrast of the abdomen shows marked thickening of the ascending colon along with multiple enlarged lymph nodes in the right lower quadrant.The diagnosis was salmonella colitis.
pediatricimaging.org
•
CC-by-nc-sa 4.0
Hallo!
Lizenz: CC BY-SA 4.0
Salmonellenkolitis
Siehe auch:
Kolitis
Salmonellen